Bunions

Bunions are more than just bumps

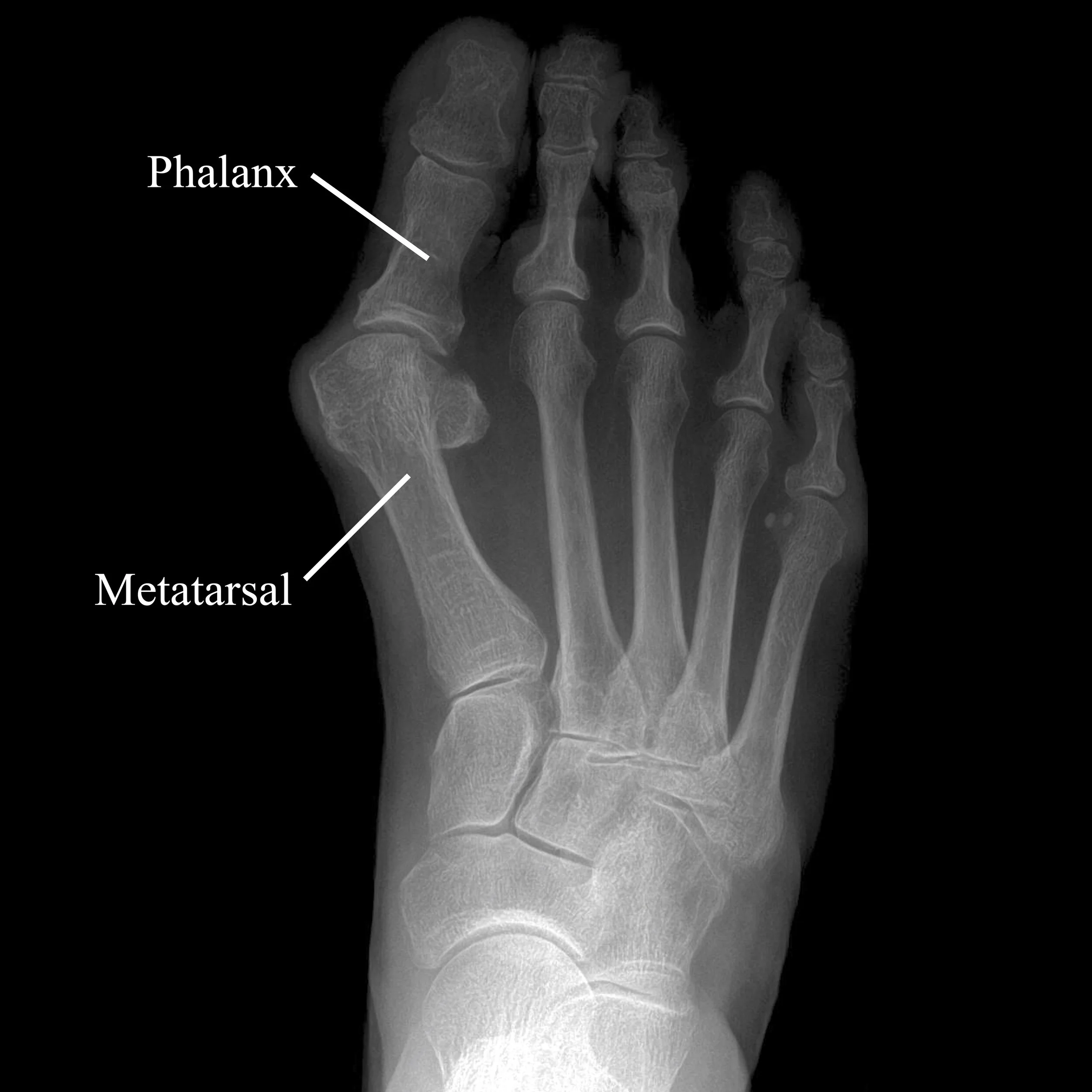
Bunions result from an angular deformity between the metatarsal and the phalanx of the big toe. Specifically, the metatarsal (foot bone) angles outward (towards your other foot), while the phalanx (toe bone) angles inward (towards the smaller toes).

This angular deformity gives rise to the bump where the bones meet, right at the base of the big toe. This bump can become very painful and cause severe problems with shoe wear and walking. It can also cause problems with the smaller toes (hammertoes). Fortunately, a good surgery can reliably correct any bunion deformity and relieve symptoms.

Dr. Bohl is highly experienced at correcting even the most complicated bunions using a minimally-invasive technique, which means through small poke holes, with quick recovery, minimal pain, and a highly cosmetic result.


Minimally Invasive Bunionectomy

In Dr. Bohl’s opinion, the ideal technique for correcting bunions is the Minimally Invasive Bunionectomy. Through this technique, Dr. Bohl is able to correct even the most severe bunions using a series of tiny (<3mm) poke holes, rather than through the long incisions required for traditional bunion surgery. Minimally Invasive Bunionectomy allows patients to achieve a much quicker recovery, including more rapid ambulation and decreased postoperative swelling and pain.

You are allowed to put weight on the foot immediately after surgery, which is a big deal for making your recovery easier. Most patients are able to return to desk jobs after two days. Patients who stand all day for work should plan for a week off.

The most important component of a bunionectomy is that it lasts for your lifetime. Too many insufficient bunion procedures are performed, only to have the bunion recur. Dr. Bohl believes that his technique is the most reliable of any for preventing recurrence, alleviating pain, facilitating shoe wear (including high heels), maintaining motion, minimizing risk, and producing a durable result.

Please watch the animation to understand the process for correcting your bunion through a minimally invasive approach.


Failed Bunion Surgery and Revision Procedures

Dr. Bohl specializes in correcting failed bunion procedures. If you’ve had previous surgery and are unhappy, Dr. Bohl will be happy to discuss the reasons for failure and the risks and benefits of additional surgery.

Failed bunions are complex and difficult to treat, so Dr. Bohl always recommends seeking opinions from major medical centers and proceeding cautiously.

If you’ve had prior bunion surgery, please try to gather your records before your appointment with Dr. Bohl. The most important document to get your hands on is the “operative report.” We recommend you obtain and keep a paper copy of this, and hand-carry a copy to your appointment.

Previous
Previous

Bone Fractures

Next
Next

Ankle Arthritis