Bone Fractures
Displaced fracture of the distal third of the tibia.
We treat all fractures and broken bones below the knee, including:
Ankle and malleolus
Tibia and fibula
Talus and calcaneus
Navicular, cuboid, and cuneiforms
Metatarsals (including Jones fractures and Lisfrank injuries)
Phalanges (toe bones)
At your first visit, Dr. Bohl will obtain a new set of x-rays. If these show a fracture, he will present you with the available options for treatment. Most fractures can be treated without surgery. However, for some fractures, Dr. Bohl may recommend surgical intervention. Specific examples are described below.
The recommendation for or against surgery depends not only on which bone is broken, but also on the positions of the bones, the orientation of the fracture, the conditions of the skin and muscle, the presence of other injuries, and your personal activity level, occupation, health, plans, and goals.
Ultimately, of course, the choice is yours.
Non-surgical treatment
Most fractures can be treated without surgery. This patient is treated in a short leg cast.
In most fractures, the bones remain well-aligned and require only immobilization in order to heal with an excellent result.
Depending on which bone is fractured, immobilization consists of one of the following:
Stiff-soled shoe
Fracture boot
Plaster splint
Fiberglass cast
If you elect for non-surgical management, Dr. Bohl will administer one of the above immobilization treatments on your first clinic visit.
He will then see you again every few weeks for follow-up x-rays. At each visit, if the bone is seen to be healing on x-ray, you will be progressed to a lesser form of immobilization.
Dr. Bohl’s goal is to ensure an excellent long-term result while returning you to the work, sports, responsibilities, and other activities that are important to you as quickly and safely as possible. His goals are your goals.
Surgical treatment
For some fractures, Dr. Bohl may recommend surgical correction.
In some fractures, the bones are not aligned or stable enough for optimal non-surgical management. For these fractures, Dr. Bohl may discuss with you the risks and benefits of surgery. In most cases where surgery is recommended, benefits will include:
Better chance of bone healing
Better position of bone healing
Decreased risk of arthritis as you age
Quicker return to work, sports, and other activities
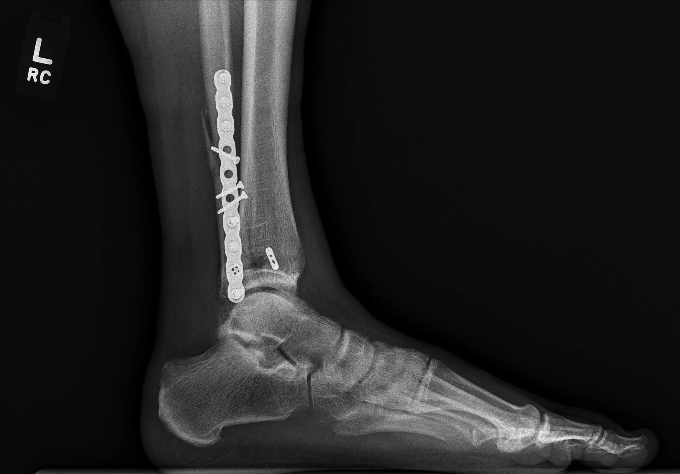
Surgery for fractures involves making an incision in the skin, putting the bones back into place, and keeping the bones in place using metal devices like plates and screws. In most cases, the metal can stay inside forever without issue.
As you know, all surgery has risks, and Dr. Bohl will discuss these with you too. The decision regarding whether to proceed with surgical or non-surgical management is always your decision and must be made within the context of your own life circumstances, values, understanding, and goals. Dr. Bohl will help you consider all of these factors.
Please see selected examples of surgical treatment of fractures below.
Examples of surgical treatment
Trimalleolar ankle fracture
Bimalleolar ankle fracture
Lateral malleolar ankle fracture with syndesmotic rupture
Lateral malleolar ankle fracture with syndesmotic rupture
Lateral malleolar ankle fracture without syndesmotic rupture
Medial malleolar ankle fracture
Talar body fracture
Talar neck fracture
Navicular fracture
Lisfrank fracture/dislocation
Animations of surgical treatment
Ankle fracture
5th metatarsal (Jones) fracture
Lisfrank fracture/dislocation
Tibia shaft fracture



